
Before Paying Thousands For Invasive Treatments, Learn More About This Revolutionary Probiotic Tablet That’s Reversing Oral Issues In Weeks.
If gum recession, tooth sensitivity, bad breath, or bleeding when flossing are part of your daily life, read this short article right now before you do anything else.
If you’ve sat in a dental chair, been told your hygiene is perfect, but your gums are still receding, bleeding, or you have persistent bad breath… you’re not alone.
What I’m about to reveal will explain what’s REALLY happening to your oral health.
My name is John Wilcox, and I’ve been a dentist for over 10 years.
And I’m frustrated.
Not at you. At a dental system that monitors oral recession but never addresses why it’s happening in the first place…
Here’s the unsettling part… when you go to a dentist, you’re often guided toward deep cleanings, scraping, or expensive procedures that seem logical – but only target what’s visible. Almost no one stops to ask: why does the problem keep returning in the first place?
Because if the underlying issue isn’t corrected, the cycle continues with more costly treatments, more frustration, more embarrassing moments.
Most people living with chronic bad breath or bleeding gums think they’re doing everything right… brushing more, rinsing longer, trying every “fresh breath” trick they can find.
But the real reason it keeps coming back has nothing to do with how well you clean your teeth. It’s something happening out of sight, quietly throwing your mouth out of balance no matter what you do on the surface.
But it wasn’t until a few years ago that I truly cracked the code to help my patients.
It all started with a personal Breakthrough Discovery I had.
What if I told you that bleeding gums and bad breath are caused by imbalanced microbiome in your oral environment?
We’ve been taught that brushing and flossing is enough to protect strong, healthy teeth and gums, but this is not true.
In fact, 92% of all adults 20 to 64 have had oral issues in their life. If toothpaste and mouthwash worked as well as we’re told to believe, why are these issues still so prevalent?
The truth is, conventional oral care products and modern eating habits have completely disrupted your oral microbiome. These products act by wiping out everything in your mouth, including good, healthy bacteria responsible for protecting your gums and teeth. Without those healthy bacteria, the pH in your mouth becomes too acidic, and that’s when problems begin.
Recent research shows that the mouth contains billions of bacteria – both good and bad. When the balance of these bacteria is disrupted, harmful microbes begin to dominate.
Over time, this can make the imbalance worse, leading to inflammation, gum irritation, unpleasant odor, and long-term oral health decline.
Imagine oral microbiome like the foundation of a house.
If the foundation starts to break down, the whole house becomes unstable, and parts of it can collapse.
Unless you address the root cause, masking the symptoms won’t solve it.
That’s why no matter how many times you brush or floss, you’ll still be dealing with the same issues over and over again.
A balanced microbiome plays a crucial role in keeping your oral health stable and defending against harmful bacteria.
The goal isn’t sterilization, it’s balance.
As you age and your gums remain inflamed, oral health starts to decline rapidly.
When this happens, you begin experience severe tooth sensitivity, loose teeth, bleeding gums and bad breath.
The problem is that experts often give conflicting advice. Some suggest deep cleanings or even a gum graft, while others recommend brushing and flossing more, or selling you expensive prescription toothpaste.
But let’s be real…
If those solutions worked, you wouldn’t be reading this right now.
When your gums are sore, bleeding, and receding, the last thing you want to do is scrub harder or book a painful deep cleaning.
This is why so many people never truly fix the issue and end up stuck with chronic gum problems… until invasive treatments feel like the only option left.
What you need is a solution that not only balance your oral bacteria but also delivers it directly where it’s needed – at your teeth and gum line.
You need to restore a balanced microbiome in your oral environment.
But how do you do that?
It’s all possible thanks to recent discoveries: direct probiotic application.
This breakthrough therapy delivers beneficial bacteria strains directly to your gum tissue using a chewable tablet.
Here’s why pills don’t work:
When you swallow these pills, your digestive system breaks it and send them to other parts of your body – everywhere except your gums.
Studies show that only 1-3% of these probiotics reaches periodontal tissue.
But when you apply directly to your gums:
It’s like putting medicine directly on a wound instead of swallowing it and hoping something gets there.

Helps by crowding out harmful microbes that contribute to plaque and gum irritation. It supports a healthier gum biofilm, making it harder for bad bacteria to take over. Promotes fresher breath by targeting odor-causing compounds.

Helps reduce gum inflammation and support healthier gum tissue. Especially valuable in an oral health formula for its ability to support the mouth’s natural defenses.

Beneficial probiotic strain that plays an important role in supporting the body’s natural immune defenses. By supporting immune function and microbial balance, helps the body respond more effectively to the bacteria that can affect gums and oral health.

Contain Peppermint that is a natural anti-inflammatory and breath freshener. Tricalcium Phosphate for tooth health support. Malic Acid found in strawberrys to help maintain tooth whiteness. Inulin that is a prebiotic fiber that feeds healthy probiotics.
These ingredients work together seamlessly to address the root cause of oral problems by directly increasing beneficial bacteria strains in your mouth microbiome.
The only issue?
This specific formulation and particle size was difficult to achieve and expensive to produce.
So, I partnered with a leading probiotic research company.
We spent months perfecting the exact particle size and formulation needed for gum absorption.
Picture you not having to worry about your breath, or if your gums will bleed when flossing, or even worse, if your teeth will start to decay and you should start saving for procedures.
The truth is, the more you wait, the more damaged and harder to repair your oral health becomes.
ProDentim is our new oral probiotic designed to address the root cause of oral issues, delivering beneficial bacteria directly to your oral biome at the exact size needed for absorption.
Instead of harsh chemicals, we focused on a 100% natural formula to protect your gums and teeth long-term.
As a result, your sensitivity fades, bleeding stops, breath becomes fresher, and your gum starts to rebuild.
But don’t take only my word for it…
At the moment, thousands of people around the world are using ProDentim to heal their gums and teeth.
Finally, you can experience the revitalizing effects of ProDentim and take the first step toward stronger gum, fresh breath, and a healthier smile.
When the product arrived, I was skeptical.
It looked like a regular probiotic.
You just slowly chew the tablet every morning.
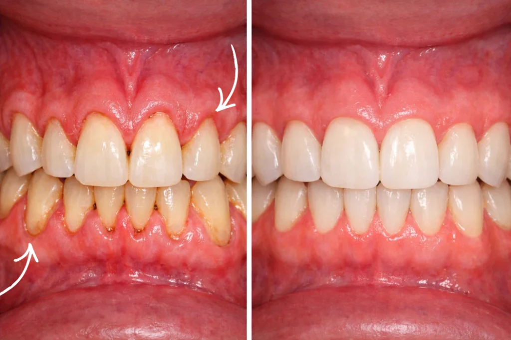
Week 1: Felt that my breath was fresher.
Week 2: Cold sensitivity started fading.
Week 3: Gums looked less pale and didn’t bleed when flossing anymore.
Week 4: No more metallic taste in my mouth. No more bad breath.
Week 5: Ate an apple without thinking about it. First time in a couple years.
Week 8: Took photos. The exposed roots were visibly less prominent.
Week 12: My regular dentist measured my gums twice: “Your recession has improved”, she said. “Thats unusual.”
Three months later, I went back to the periodontist for a consultation.
He looked at my measurements. Then looked again.
“The recession has stopped” he said.
“There’s been some regeneration. What changed?”
When I told him about the oral probiotic I was taking, he nodded slowly.
“We don’t typically recommend nutritional interventions”, he admitted.
“We are trained to focus on surgical correction.”
Right now you have two options.
Option 1: Schedule invasive treatments. Pay thousands. Endure weeks of pain. Hope it works. Watch oral health continue to decline because you never addressed the root cause.
Option 2: Try ProDentim risk-free for 60 days. Give your gums and teeth what they’re literally made of. See what happens when you address the real problem.
ProDentim comes with a 60-day money back guarantee.
If your issues don’t improve, you get every penny back. No questions asked.
But based on the thousands of success stories, that’s very unlikely.